Casos clínicos del mes

El “Caso del Mes” de Abril-Mayo 2012 ha sido el último de esta serie y desde SOGAISIDA queremos agradecer a todos los participantes en esta sección, su interés y colaboración.
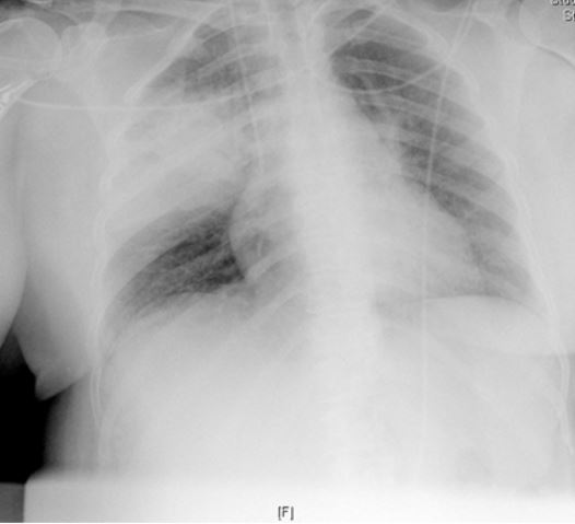
img/casosclinicos/ccmes/04-05-2012.JPG
Caso clínico de abril-mayo de 2012
Paciente mujer de 54 años fumadora de un paquete al día desde hace 40 años, con hipotiroidismo primario y síndrome depresivo. Seguida en consultas externas de Ginecología por citología cervical compatible con Lesión epitelial escamosa de bajo grado (LSIL). En el año y medio previo al actual ingreso tuvo 4 episodios de infección respiratoria requiriendo ingreso hospitalario en uno de ellos. Ingresa en UCI por cuadro de disnea, dolor de características punzantes en hemotórax derecho e irradiado a espalda de características pleuríticas. No tos ni expectoración, no fiebre ni sensación distérmica, no ortopnea ni DPN. Refiere en las 3-4 semanas previas un síndrome general con pérdida de peso de 5 Kg. A su llegada a Urgencias la paciente está hipotensa, taquipneica y en gasometría presenta datos de hipoxemia con acidosis metabólica (pH 7,31; pO2 67; pCO2 50; HCO3 2,4). En análisis general destaca: Hb 9,5 g/dl; Leucocitos 8100 cel/ml; Linfocitos 990 cel/ml; Urea 70 mg/dl; Cr: 2,91 mg/dl; Procalcitonina: 25,33 ng/ml. En Rx Tórax se observa una condensación neumónica en LSD (Ver figura). En los hemocultivos crecen cocos gram positivos en diplos y cadenas cortas. En lavado broncoalveolar se observan quistes y trofozoitos característicos. Se realiza test serológico específico que resulta positivo.
¿Cuál es el diagnóstico más probable?
RESPUESTA:
Infección por VIH.
Neumonía Neumocócica con sepsis asociada.
Neumonía por Pn jirovecii
ACERTANTES
Héctor Meijide
Centro: USP
INFECCION POR VIH NEUMONIA POR PNEUMOCISTIS J. NEUMONIA BACTERIEMICA POR S. PNEUMONIAE
Delia González
Centro C.P. TEIXEIRO
Neumonia por neumocistis jirovecii con presentación radiológica atípica (consolidacion segmentaria) asociada o no a otros gérmenes
Pilar Vázquez Rodríguez
Centro CHUAC
Bacteriemia por neumococo en probable relación con neumonía neumocócica. – Neumonía por P. Jiroveci (ó P. Carinii). – Infección por VIH.
Laura Vilariño Maneiro
Centro Hospital Arquitecto Marcide (Ferrol)
Neumonía por P. jiroveci asociada a bacteriemia por Streptococcus en paciente VIH
Caso clínico del mes de marzo
Paciente mujer de 59 años. Diagnosticada de Infección por VIH en el año 2000. Transmisión heterosexual. Categoría A1. Hepatitis crónica VHB antígeno E negativa. Está a tratamiento con Truvada+Viramune desde Enero 2009 tras recibir tratamientos previos con Combivir y Zerit. En Enero 2010 la paciente comienza con clínica de adelgazamiento y epigastralgia. En el control de análisis de Febrero 2010 se observa: Leucocitos 3.790 cel/mm3; Hb 10,4 g/dl; HCTº 31,5%; VCM 109 µm3; HCM 36,1pg; P 2mg/dl; glucosa, urea, creatinina, Ac úrico, Colesterol, Proteinas y albúmina, LDH y transaminasas en rangos normales. CD4 645 cel/µL, RNA-VIH indetectable y DNA-VHB indetectable. En análisis previos la paciente presentaba discreta macrocitosis sin anemia asociada. Se solicita endoscopia digestiva alta que objetiva en la segunda porción duodenal un patrón en mosaico que en la biopsia se corresponde con un evidente aplanamiento de vellosidades y la presencia de un abundante infiltrado inflamatorio linfocitario crónico que permeabiliza las células epiteliales superficiales. El cuadro endoscópico y anatomopatológico es confirmado con unos test serológicos específicos.
¿Cuál es el diagnóstico más probable?
Respuesta: enfermedad celíaca
ACERTANTES
Delia González
C.P. TEIXEIRO
deliagontej@hotmail.com
Enfermedad celíaca
Laura Vilariño Maneiro Hospital Arquitecto Marcide (Ferrol) lauravilarinom@hotmail.com
Enfermedad celíaca
img/casosclinicos/ccmes/02-2012.jpg
Paciente hombre de 47 años ex-fumador, exADVP. Diagnosticado de Infección por VIH en 1998, categoría C3 por TB ganglionar en 2006, nadir de CD4 122. Herpes zoster costal derecho en Agosto 2011. Probable Neumonía por Pn jirovecii en Octubre 2011. Ha recibido varios tratamientos antirretrovíricos que finalmente abandona permaneciendo sin tratamiento desde Marzo de 2010. A finales de Octubre de 2011 y tras su ingreso por Neumonía, consulta por cuadro de unos días de evolución caracterizado por unas lesiones vesiculosas, discretamente pruriginosas, en distintos estadios de evolución, de inicio en extremidad superior izquierda y con progresión a tronco, cabeza y extremidad superior derecha. (Figuras 1, 2 y 3). No fiebre ni sensación distérmica. No cefalea ni dolor ocular. Cuando se inicia el cuadro cutáneo el paciente ya había finalizado el tratamiento con Septrim forte que se le había pautado y estaba pendiente de comenzar con nueva pauta de TARGA. El paciente tiene CD4 16 cel/µL y RNA-VIH: 256.000 cop/ml.
Pregunta: ¿Cuál es el diagnóstico más probable?
Pregunta: ¿Cuál es el diagnóstico más probable?
Respuesta: Herpes zoster diseminado
Acertantes:
Nombre: Fran Pita
Centro: CHUAC
Nombre: Rocío Vázquez
Centro: CHUAC
Nombre: Delia González
Centro: C.P. TEIXEIRO
img/casosclinicos/ccmes/12-2011.jpg
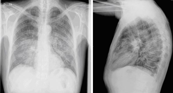
CASO CLÍNICO DEL MES DE DICIEMBRE (Cerrado. Ver solución y lista de ganadores) Paciente de 46 años sin antecedentes médico-quirúrgicos de interés, ex-fumador desde hace un año sin otros hábitos tóxicos. Originario de Venezuela lleva residiendo en España tres meses cuando consulta en Junio 2011 por un cuadro de una semana de evolución caracterizado por una disnea progresiva hasta hacerse de pequeños esfuerzos, con tos ocasional no productiva y rinorrea blanquecina, fiebre de 39º, sin dolor torácico ni edema en extremidades inferiores. Refiere que desde un año antes presenta anorexia y pérdida de peso importante. En la exploración física destaca un aceptable estado general, TA: 98/70, Tª 36,2º, Pulso 107 lpm, taquipneico a 20 rpm con Saturación basal del 93%. En cara presenta una dermatitis seborreica severa, en la lengua se observan placas blanquecinas en los bordes compatibles con una leucoplasia vellosa, en la auscultación pulmonar se objetiva una hipoventilación generalizada y el paciente tiene varios tatuajes además de lesiones cutáneas de rascado y pústulosas en piernas y tórax. En la analítica destaca una linfopenia de 900 cel/µL y Hb de 12,9 g/dl y en la gasometría arterial pH 7,48; pO2 53 y pCO2 31. En la radiografía de tórax se describe una enfermedad intersticial difusa de predominio perihiliar que se extiende hacia las regiones subpleurales y es confluente en algunas areas. (Figuras 1 y 2). Se solicita una serología de VIH y una broncoscopia de cuyos resultados estamos pendientes.
Pregunta: ¿Cuál es el diagnóstico más probable?
Respuesta:
Infección por VIH Categoría C
Neumonía por Pn jirovecii
Acertantes:
Nombre: Nelida Elsa Prado Gomez
Centro: C.S Adormideras
Respuesta: Neumonía por Pneumocystis jiroveci
Nombre: Fran Pita
Centro: CHUAC
Respuesta: Probable Infección por VIH categoría C3. Probable neumonía por pneumocystis jiroveci e insuficiencia respiratoria parcial secundaria. Probable prúrigo por VIH.
Nombre:Delia González
Centro:CP Teixeiro
Respuesta:Neumonía por N. jirovecii
Nombre:Hector
Centro: USP
Respuesta:INFECCIÓN VIH. NEUMONÍA POR PNEUMOCISTIS J.
Nombre: Pilar Vázquez Rodríguez
Centro: CHUAC
Respuesta: Infección por VIH, probablemente categoría C3. – Dermatitis seborreica. – Neumonía por P. Jirovecii. – Leucoplasia vellosa oral.
Nombre: Rocío Vázquez
Centro: CHUAC
Respuesta: Infección por VIH, neumonía por Pneumocystis jiroveci
Nombre:Laura Vilariño Maneiro
Centro:Hospital Arquitecto Marcide (Ferrol)
Respuesta: Neumonía por Pneumocystis jiroveci en paciente VIH.
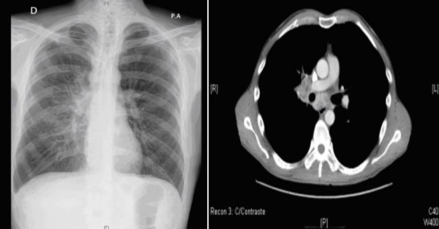
img/casosclinicos/ccmes/11-2011.jpg
CASO CLÍNICO DEL MES DE NOVIEMBRE
Paciente de 43 años, ExADVP, VIH positivo diagnosticado en 1992, categoría A3. Sin TAR por decisión propia desde el año 2006. Último control realizado en Julio 2010 con CD4 de 10 células/µL que además supone el nadir del paciente, y RNA-VIH de 195.920 cop/ml. Hepatitis crónica VHC genotipo 3 tratada y con respuesta virológica sostenida. Fumador de un paquete al día. Consulta en Septiembre de 2010 por cuadro de 7 días de evolución caracterizado por sensación febril, astenia y tos escasamente productiva que es tratado inicialmente por su médico de cabecera con amoxicilina-clavulánico sin mejoría. En la exploración física destaca un aceptable estado general, temperatura de 38,2o C, hemodinamicamente estable, eupneico, sin adenopatías palpables, algún roncus disperso en la auscultación pulmonar; resto de la exploración sin datos relevantes. En la analítica destaca una linfopenia de 870 cel/µL, Hb de 11,3 g/dl y Na de 134 mEq/L. En la radiografía de tórax se describe un patrón intersticial en hemitórax derecho de predominio en LI y LM (Figura 1). En el TAC toracoabdominal se visualiza un conglomerado adenopático en hilio pulmonar derecho de unos 4 cm con adenopatías confluentes necróticas. También se observan otros ganglios más pequeños a lo largo de la cadena paratraqueal y traqueobronquial derecha y en la región subcarinal, la mayor parte de ellos con necrosis central y realces capsulares. No otras localizaciones.
Extensos cambios enfisematosos. (Figura 2). En el esputo inducido la auramina y el cultivo posterior para micobacterias son negativos y el antígeno de Pn jirovecii también resulta negativo.
Pregunta: ¿Cuál es el diagnóstico más probable?
Respuesta:
Infección por VIH Categoría C3 Tuberculosis ganglionar hiliomediastínica
Acertantes:
Nombre: Fran Pita
Centro: CHUAC
Respuesta: Tuberculosis. Infección por VIH categoría C3, inmunosupresión severa.
Nombre: Laura Bello
Centro: CHUAC
Respuesta: Tuberculosis
Nombre: Nelida Elsa Prado
Centro: C.s Adormideras
Respuesta: TB ganglionar(hiliomediastinica)
CASO DEL MES DE OCTUBRE 2011 (Cerrado. Ver solución y lista de ganadores)
Paciente de 32 años, entre cuyos antecedentes figuran ser alérgico al ácido acetilsalicílico, exADVP, pancreatitis aguda de etiología alcohólica, hepatitis crónica VHC. Actualmente es fumador de 20 cigarrillos al día y no sigue tratamientos de forma habitual. Refiere haber realizado serología de VIH hace años que fue negativa.
Previamente bien acude a urgencias de nuestro hospital por cuadro de cuatro días de evolución caracterizado por fiebre y vómitos sin dolor ni diarrea asociados ni tampoco otra sintomatología. En la exploración física el paciente está hemodinamicamente estable, afebril, presenta buen estado general, discreta ictericia conjuntival, la auscultación cardiopulmonar es normal y el abdomen es blando, depresible y no doloroso, no se palpan masas pero sí una esplenomegalia. Extremidades inferiores normales.
En las exploraciones complementarias se observan en el hemograma los siguientes datos: Hb 10 g/dL; HCTº 27,5 %; VCM: 90,4 µm3; HCM: 32,9 pg, Leucocitos: 8.790 cel /mL y Plaquetas: 16.000 cel/mL. Frotis de sangre periférica: Trombopenia severa, abundantes esquistocitos y esferocitos. Coagulación normal. Bioquímica: Urea 106 mg/dL, Cr 2 mg/dL, GOT 135 UI/L, GPT: 122 UI/L, Bilirrubina 2 mg/dL, y LDH 2925 UI/L. Haptoglobina 6 mg/dL. EEF, ANAS, ANCAS, Complemento y crioglobulinas en rangos normales o negativos. Orina: Pp 500 mg/dl, Hemo/mioglobina 250/microL, Na: 13 mEq/L. Sedimento: 10-15 hematíes/campo, células de epitelio redondo, uratos amorfos y cilindros hialino-granulosos. Hemocultivos: negativos. Serologías: VIH positivo, HBsAg negativo. RNA-VIH: 750.000 cop/ml. CD4: 500 (26%) cel/µL. Radiografía de tórax: sin alteraciones y Ecografía abdominal: Esplenomegalia homogénea. Moderado aumento de ecogenicidad en ambos riñones sugestivos de nefropatía médica.
Pregunta: ¿Cuál es el diagnóstico más probable?.
Respuesta: Microangiopatía trombótica asociada al VIH o Síndrome hemolítico
urémico-púrpura trombótica trombocitopénica.
Acertantes:
nombre
Nélida Elsa Prado Gómez
centro
C.s Adormideras
respuesta
síndrome hemolítico-urémico en relación con infección por vih

nombre
Pilar Vázquez Rodríguez
centro
CHUAC
respuesta
Microangiopatía trombótica (Síndrome hemolítico-urémico)

nombre
JOSE ANTONIO MARTIN
centro
CP TEIXEIRO
respuesta
Hemólisis mecánica de pequeño vaso siendo una de las causas más probables el SÍNDROME HEMOLÍTICO URÉMICO

nombre
Delia González
centro
CP TEIXEIRO
respuesta
anemia hemolitica intravascular en el seno de un sindrome hemolitico uremico

nombre
Héctor Megide Miguez
centro
USP
respuesta
Síndrome hemolítico-urémico

nombre
Raul Rodriguez
centro
Complexo Hospitalario de Ourense
respuesta
PTT asociada a Sd.hemolitico/uremico

nombre
Laura Vilariño Maneiro
centro
Hospital Arquitecto Marcide (Ferrol)
respuesta
Síndrome hemolítico-urémico en paciente VIH positivo

nombre
Fran Pita
centro
CHUAC
respuesta
1) Infección por VIH. Probable categoría B2 2) Síndrome Hemolítico-Urémico en relación con 1 3)Hepatitis Crónica por VHC 4) Esplenomegalia en relación con 3
img/casosclinicos/ccmes/09-2011.JPG
Caso clínico mes de septiembre 2011 (Cerrado. Ver solución y lista de ganadores)
Paciente de 38 años alérgico a la penicilina, EXADVP, homosexual y VIH positivo desde 1989. Antecedentes de tuberculosis pulmonar tratada en 1988, condilomas acuminados, litiasis biliar y hepatitis crónica VHC. Trabaja en una tienda de animales, recibe tratamiento con d4t+3tc+indinavir y presenta CD4: 851 cél/μl, y ARN-VIH: 425 copias/ml. Refiere un cuadro caracterizado por la presencia de lesiones pápulo eritematosas con collarete escamoso en plantas de los pies (Figuras. 1 y 2). Pregunta: ¿Cuál es el diagnóstico más probable?.
Solución:
SÍFILIS SECUNDARIA
Acertantes:
Nombre
Laura Bello
Centro
CHUAC
Respuesta
sífilis secundaria con afectación plantar

Nombre
Raúl Rodríguez
Centro
CHUO
Respuesta
Secundarismo sifilitico

Nombre
Nelida Elsa Prado Gomez
Centro
C.s adormideras
Respuesta
sifilis secundaria en paciente vih posistivo

Nombre
Hector Meijide
Centro
USP
Respuesta
Siflilis secundaria

Nombre
Laura Vilariño Maneiro
Centro
Hospital Arquitecto Marcide (Ferrol)
Respuesta
Sífilis secundaria

Nombre
delia gonzalez
Centro
C.P. TEIXEIRO
Respuesta
sífilis secundaria

Nombre
Pilar Vázquez Rodríguez
Centro
CHUAC
Respuesta
Lúes secundaria

Nombre
Fran Pita
Centro
CHUAC
Respuesta
Sífilis secundaria

img/casosclinicos/ccmes/08-2011.JPG
Caso clínico del mes de agosto 2011 (Cerrado. Ver solución y lista de ganadores)
Paciente hombre de 48 años, ExADVP, VIH positivo Categoría C2 diagnosticado en 1986. Nadir de CD4 de 815 cél/μl. Tuberculosis diseminada con afectación pulmonar, ganglionar e intestinal en Agosto 2007, correctamente tratada. Hepatitis crónica VHC con respuesta virológica sostenida tras tratamiento antivírico en 2004. No recibe tratamientos habituales y nunca ha recibido TARGA.
Refiere cuadro de un mes de evolución caracterizado por vómitos intermitentes de predominio nocturno, epigastralgia, anorexia y adelgazamiento.

El último control realizado un mes antes de la consulta mostraba una cifra de CD4 de 378 (20%) cél/μl y ARN-VIH: 28.723 copias/ml. Se realiza una gastroscopia que muestra la presencia de múltiples placas blanquecinas adheridas a lo largo de todo el esófago. Estómago y duodeno, sin alteraciones. (Figura 1 ).
Pregunta: ¿Cuál es el diagnóstico más probable?.
Respuesta: Candidiasis esofágica
Ganadores:
Nombre
Nelida Elsa Prado Gomez
Centro
C.S Adormideras

Nombre
Laura Bello Rodríguez
Centro
CHUAC

Nombre
Pilar Vázquez Rodríguez
Centro
CHUAC

Nombre
JOSE ANTONIO MARTIN PELAEZ
Centro
C.P. TEIXEIRO

Nombre
delia gonzalez
Centro
c. p. teixeiro

Nombre
Laura Vilariño Maneiro
Centro
Hospital Arquitecto Marcide (Ferrol)
img/casosclinicos/ccmes/07-2011.JPG
Caso clínico del mes de julio de 2011 (Cerrado. Ver solución y lista de ganadores)
Paciente hombre de 35 años. Ex–ADVP. VIH positivo categoría B3 diagnosticado en 2000. Seguimiento en consultas muy irregular con ausencias prolongadas. En el momento de la consulta está sin TARGA y el último control disponible es de Abril 2010 con RNA-VIH de 128.000 copias/ml y CD4 de 30 cel/µL. Ingreso en 2006 en la Unidad de Cuidados Intensivos por intoxicación con metadona y parada cardio-respiratoria secundaria. Profilaxis tuberculosa con Isoniazida en el año 2008 por contacto con conviviente, con radiografía y esputos negativos. Hepatopatía crónica VHC. Herpes genital VHS tipo 2 en Enero 2010. Fumador activo de un paquete diario, sigue tratamiento con Metadona.

El paciente consulta en Marzo 2011 por cuadro de mes y medio de evolución caracterizado por la aparición progresiva de lesiones papulares, eritemato-violáceas e indoloras en boca, meato urinario y extremidades (Figuras 1 y 2).

Pregunta: ¿Cuál es el diagnóstico más probable?
Respuesta: Infección por VIH Categoría C3. Sarcoma de Kaposi mucocutáneo.
Ganadores:
Nombre
Raúl Rodríguez Pérez
Centro
C.Hospitalario Universitario de Ourense
Respuesta
Sarcoma de kaposi

Nombre
Nelida
Centro
Prado Gomez
Respuesta
sarcoma de kaposi

Nombre
HECTOR MEIJIDE miguez
Centro
CHUAC
Respuesta
SARCOMA DE KAPOSI

Nombre
Iria
Centro
CHUAC
Respuesta
Sarcoma de Kaposi

Nombre
Pilar Vázquez Rodríguez
Centro
C. H. U. de A Coruña
Respuesta
Sarcoma de Kaposi

Nombre
Laura Vilariño Maneiro
Centro
Hospital Arquitecto Marcide (Ferrol)
Respuesta
Sarcoma de Kaposi.

Nombre
Alfredo
Centro
CHUVI-Xeral (Vigo)
Respuesta
Sarcoma de Kaposi

Nombre
Alfredo
Centro
CHUVI-Xeral (Vigo)
Respuesta
Sarcoma de Kaposi
img/casosclinicos/ccmes/06-2011.JPG
Caso clínico del mes de junio de 2011. (Cerrado. Ver solución y lista de ganadores.)
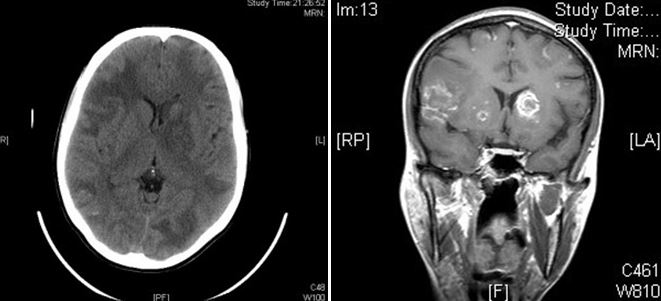
Paciente mujer de 37 años, sin hábitos tóxicos y sin antecedentes médico-quirúrgicos de interés que es traída a urgencias por su familia por deterioro de estado general de al menos cinco meses de evolución con anorexia, adelgazamiento no cuantificado, fiebre ocasional de predominio vespertino y sudoración profusa. Refiere tos seca, sin disnea ni dolor torácico. La semana previa al ingreso presentaba trastornos de memoria y de comportamiento con desorientación progresiva sin focalidad neurológica y con tendencia la encamamiento.

En la exploración física la paciente presenta fiebre de 38ºC, está eupneica saturando basalmente al 97%, está consciente, no colaboradora, desorientada en los tres planos, y bradisíquica, pupilas isocóricas y normorreactivas, probable hemianopsia homónima izquierda, hemiparesia derecha 4/5, reflejos osteotendinosos conservados, meníngeos negativos y marcha normal. En el resto de la exploración física destaca la existencia de una candidiasis oral y roncus aislados.

Se realiza TAC en urgencias sin contraste (Figura 1) que es informado como probable enfermedad metastásica intracraneal con presencia de múltiples lesiones nodulares en ambos hemisferios cerebrales en localización cortico-subcortical. Se realiza posteriormente una RNM cerebral (Figura 2) que identifica múltiples lesiones hemorrágicas cortico-subcorticales en los ganglios basales de predominio izquierdo con moderado edema. También se observa una hemorragia cortical-leptomeníngea también asociada a marcado edema, sobre todo en región frontal derecha.

Pregunta: ¿Cuál es el diagnóstico/s más probable/s?
Respuesta:
Infección por VIH.
Toxoplasmosis cerebral hemorrágica.
GANADORES:
Nombre
Laura Bello:
Centro
CHUAC
Respuesta
Toxoplasmosis cerebral

Nombre
Pilar Vázquez Rodríguez
Centro
CHUAC
Respuesta
Toxoplamosis cerebral

Nombre
Nelida Elsa Prado Gomez
Centro
C.S Adormideras
Respuesta
Toxoplasmosis cerebral hemorragica en probable paciente VIH no diagnosticado

Nombre
Laura Vilariño Maneiro
Centro
Hospital Arquitecto Marcide (Ferrol)
Respuesta
Toxoplasmosis cerebral como forma de presentación de SIDA

Nombre
Pilar Blanco López
Centro
CHUAC
Respuesta
Toxoplasmosis
img/casosclinicos/ccmes/05-2011.JPG
Caso clínico del mes de mayo 2011. (Cerrado. Ver solución y lista de ganadores).
Paciente de 44 años, exADVP, VIH positivo categoría A3 diagnosticado en 1984. Hepatitis crónica VHC. No otros hábitos tóxicos en el momento actual. EPOC tipo enfisema. Miopatía no inflamatoria. Osteonecrosis de caderas y hombro derecho. Ha recibido varios tratamientos antirretrovíricos que se han modificado fundamentalmente por intolerancia y diversos efectos secundarios. Último TAR vigente está integrado por Viread+Tipranavir/r+T20.

El paciente consulta por cuadro de un mes y medio de evolución caracterizado por plétora facial, crecimiento de vello en hombros y espalda y edema maleolar bilateral. Cefalea ocasional. Una semana antes del comienzo de los síntomas el paciente inició tratamiento inhalado con salmeterol-fluticasona al que posteriormente añadió formoterol-budesonida. En la exploración física destaca una TA de 156/89, cara de “luna llena”, vello abundante en hombros y espalda, lesiones acneiformes y edema perimaleolar bilateral (Figuras 1 y 2). En las exploraciones complementarias el paciente tiene un hemograma normal y una bioquímica en la que destaca una discreta hipertransaminemia. Su cifra de CD4 es de 81 cel/µL y el RNA-VIH de 64 cop/ml. Hormonas tiroideas normales. El cortisol en orina de 24 horas es de 0,95 µg/día (VN: 28,5-213,7).

Pregunta: ¿Cuál es el diagnóstico más probable?.
Respuesta:
Síndrome de Cushing iatrogénico por combinación de corticoides inhalados e Inhibidor de la Proteasa potenciado con ritonavir.
GANADORES:
Nombre
Laura Bello Rodriguez
Centro
CHUAC
Respuesta
Sdr. Cushing secundario a esteroides inhalados en paciente tratado con ritonavir

Nombre
Nelida Elsa Prado Gómez
Centro
C.S adormideras
Respuesta
Sindrome de cushing iatrogeno secundario a corticoides inhalados

Nombre
Pilar Vázquez Rodríguez
Centro
Hospital de A Coruña
Respuesta
Síndrome de Cushing secundario a corticoides inhalados (interacción con IPs)

Nombre
Raul rodriguez
Centro
Complexo Hospitalario Ourense
Respuesta
Sd. de Cushing secundario al incremento de efecto de fluticasona al tomar ritonavir
img/casosclinicos/ccmes/04-2011.jpg
Caso clínico del mes de abril 2011. (Cerrado. Ver solución y lista de ganadores).
Paciente de 37 años, exADVP, VIH positivo categoría A3 diagnosticado en 1996. Nadir de CD4 de 193 cel/µL en Septiembre 2007. Hepatitis crónica VHC. Fumador de 1 paquete al día. No otros hábitos tóxicos en el momento actual. En programa de mantenimiento con Metadona. No recibe ningún tratamiento, tampoco TAR, por decisión propia y tras varios intentos previos seguidos de abandonos.

En Noviembre de 2007 el paciente consulta por cuadro de 15 días de evolución caracterizado por hemiparesia derecha progresiva que se inicia en MID y se extiende a MSD. No cefalea ni fiebre, no clínica de crisis convulsivas. En la exploración física destaca la presencia de una hemiparesia derecha: Fuerza en MSD 4/5 y en MID 2/5 con hipoestesia. Resto de la exploración normal.

En las exploraciones complementarias el paciente tiene un hemograma y bioquímica normales, una cifra de CD4 de 166 cel/µL y RNA-VIH de 64.200 cop/ml. Las serologías de toxoplasma y lúes son negativas en sangre y los resultados de LCR son normales. Se hace una RNM cerebral en la que se observa que en la sustancia blanca subcortical frontoparietal izquierda se evidencia una afectación difusa de la misma y marcadamente hiperintensa en secuencias T2. También afectación de la vía piramidal en su región más craneal (Figura 1).

Pregunta: ¿Cuál es el diagnóstico más probable?.
Respuesta:
Leucoencefalopatía multifocal progresiva
GANADORES: • Nombre
Berta Pernas Souto
• Centro
CHUAC
• Respuesta
Leucoencefalopatía multifocal progresiva.

• Nombre
Nélida Prado Gómez
• Centro
C.S. Adormideras
Leucoencefalopatía multifocal progresiva

• Nombre
Laura Bello
• Centro
CHUAC
• Respuesta
leucoencefalopatía multifocal progresiva

• Nombre
Raúl Rodríguez Pérez
• Centro
CHOU
• Respuesta
Leucoencefalopatia múltifocal progresiva

• Nombre
Pilar Vázquez Rodríguez
• Centro
H. de Coruña
• Respuesta
Leucoencefalopatía multifocal progresiva

• Nombre
Álvaro Mena
• Centro
CHUAC
• Respuesta
leucoencefalopatía multifocal progresiva

• Nombre
HECTOR MEIJIDE
• Centro
CHUAC
• Respuesta
LEUCOENCEFALOPATIA MULTIFOCAL PROGRESIVA
Caso clínico del mes de marzo 2011 (Cerrado. Ver solución y lista de ganadores).
Paciente hombre de 56 años, diagnosticado de infección por VIH en 1994. Categoría B3. Nadir de CD4 170 cel /µL en el momento del diagnóstico. Portador de una hepatitis crónica VHB conocida también en 1994. El paciente presentó un cuadro de descompensación icterohidrópica severo en Julio-Agosto de 1998 por reactivación del VHB con HBeAg positivo y DNA-VHB positivo. Desde entonces recibe sucesivos tratamientos TARGA que incluyeron Lamivudina entre 1998 y 2003, Tenofovir entre 2003 y 2008 y Truvada desde 2008 y hasta enero 2010 en que estaba combinado con Atazanavir/r. Durante todo este periodo de 12 años el paciente ha permanecido asintomático en relación a su hepatitis, con Transaminasas normales, DNA-VHB negativo en sangre por PCR en tiempo real y con marcadores de hepatitis: HBsAg positivo, HBeAg negativo, HBcAc positivo, HBeAc positivo. La infección por VIH también presentaba un excelente control con CD4 de 810 cel /µL y RNA-VIH indetectable en Enero 2010. En esta fecha el paciente refiere que no quiere incluir análogos en su pauta TARGA y a partir de Febrero 2010 inicia un nuevo tratamiento con Prezista/r BID+Isentress+Intelence. Tres meses después, está asintomático y con buena tolerancia al tratamiento pero en el control analítico se observa elevación de transaminasas (GOT 659 UI/L, GPT 1551 UI/L, GGT 293 UI/L), viremia VHB positiva (DNA-VHB >8,23 log->1,7 x108 UI/ml) y serorreversión del Antígeno E, con buen control del VIH en sangre que es indetectable y con CD4 de 927 cel /µL.

Pregunta: ¿Cuál es el diagnóstico más probable?
SOLUCIÓN:
Reactivación del VHB secundaria a la retirada de TRUVADA.
GANADORES:
Nombre del participante
HECTOR MEIJIDE MIGUEZ
Centro
CHUAC
Respuesta
REACTIVACION INFECCION POR VHB

Nombre del participante
María Jose Lopez Alvarez
Centro
Hospital Lucus Augusti
Respuesta
Reactivación de hepatitis cronica por VHB por retirada de tratamiento antiviral (Truvada)

Nombre del participante
Raúl Rodríguez Pérez
Centro
CHOU
Respuesta
Reactivación de hepatopatia crónica B al suprimir análogos.

Nombre del participante
Lucía Ferreira
Centro
H. Arquitecto Marcide
Respuesta
Rebrote de hepatitis crónica por VHB tras interrupción de tratamiento con análogos

Nombre del participante
María Trigás Ferrín
Centro
Hospital Arquitecto Marcide Ferrol
Respuesta
Con la nueva pauta de tratamiento no recibe ningún antiviral con acción contra el VHB y por tanto se ha producido una reactivación de dicha infección

Nombre del participante
Pilar Vázquez Rodríguez
Centro
Hospital de Coruña
Respuesta
Reactivación de la hepatitis B tras suspensión de TDF+FTC
Caso clínico del mes de febrero 2011 (Cerrado. Ver solución y lista de ganadores).
Paciente de 29 años, exADVP, VIH positiva categoría A2 diagnosticada en 2006. Hepatitis crónica VHC. Fumadora de 3 cigarrillos /día. En programa de mantenimiento con Metadona a bajas dosis. Último control en otro centro en Mayo 2010: CD4 425 cel/µL y RNA-VIH: 370 cop/ml, sin otras alteraciones. Inició tratamiento con Combivir+Kaletra en Abril 2010 por deseo de embarazo. Consulta en nuestro centro el 1 de Octubre 2010 por cuadro de pérdida de peso en el mes previo, anorexia y astenia que se agrava en los últimos 15 días. Pico febril aislado en este periodo, no refiere sudoración. Presenta cefalea holocraneal con acúfenos y sensación de mareo. No melenas. Menstruaciones normales. A la exploración la paciente está hemodinamicamente estable, afebril, se objetiva palidez mucocutánea y está eupneica. Resto de la exploración es normal. En las exploraciones complementarias destaca en el hemograma la presencia de una anemia severa con macrocitosis y leucopenia: Hb. 4,3; HCTº 13,8; VCM: 107,6; HCM: 33,2, Leucocitos: 1860 y Plaquetas: 171000. VSG: 120. Frotis de sangre periférica: anisocitosis marcada en la serie eritroide, leve macrocitosis, pleocariocitos, no blastos. Coagulación normal. Bioquímica: GOT: 40, GPT: 97, Bilirrubina, Función renal y LDH en rangos normales. CD4: 225 (23%) y RNA-VIH: Indetectable por PCR en tiempo real. Radiografía de tórax y Ecografía abdominal sin hallazgos de interés.

Pregunta: ¿Cuál es el diagnóstico más probable?.
SOLUCIÓN:
Anemia y Leucopenia en relación con toxicidad por AZT
GANADORES:
Nombre del participante
HECTOR MEIJIDE
Centro
CHUAC
Respuesta
AZT

Nombre del participante
patricia vazquez rodriguez
Centro
chuac
Respuesta
anemia macrocítica por combivir (AZT)

Nombre del participante
Pilar Vázquez Rodríguez
Centro
CHUAC
Respuesta
Anemia por AZT

Nombre del participante
Nely Prado Gomez
Centro
Adormideras
Respuesta
Efecto secundario a los análogos de nucleosidos (combivir)

Nombre del participante
Raúl Rodríguez Pérez
Centro
chou
Respuesta
Toxicidad medular por AZT

Nombre del participante
María Trigás Ferrín
Centro
Hospital Arquitecto Marcide
Respuesta
Anemia megaloblástica secundaria a tratamiento con Combivir

Nombre del participante
L. Ferreira-González
Centro
H. Arquitecto Marcide
Respuesta
Anemia megaloblástica por zidovudina
img/casosclinicos/ccmes/01-2011.JPG
CASO DEL MES DE ENERO 2011 (Cerrado. Ver solución y lista de ganadores).
Paciente de 27 años, homosexual, diagnosticado de infección por VIH en Junio 2009 en análisis de screening por sus factores de riesgo. Categoría A 2. Nadir de CD4 258 en Mayo 2010. No comorbilidades. Fumador de un paquete al día. Bebedor ocasional. No consume otras drogas. Asintomático. En la exploración física destaca la presencia de pequeñas adenopatías cervicales y supraclaviculares. Se decide iniciar tratamiento antirretrovírico por descenso de CD4. Se pauta Atripla pero es preciso suspenderlo por reacción alérgica (rash cutáneo severo y muy pruriginoso y edema labial) a los 15 días de su inicio. Tras su recuperación se pauta nueva combinación con Kivexa+Reyataz y Norvir en pauta QD. A los 14 días el paciente consulta porque se nota muy amarillo y en la exploración física se observa ictericia intensa de piel y mucosas. En el análisis realizado se objetiva: Cr: 1,3; Bilirrubina total: 8 mg/dl; Bilirrubina directa: 0,5; GOT, GPT y GGT en rangos normales.

Pregunta: ¿Cuál es el diagnóstico más probable?.
SOLUCIÓN:
Hiperbilirrubinemia en relación con Reyataz (atazanavir).
GANADORES:
Nombre: ANDREA GALEGO
Fecha de respuesta: 28 de diciembre de 2010
Centro: CHUAC
Respuesta: Aumento de bilirrubina por rayataz

Nombre: Alejandro Mejuto García
Fecha de respuesta: 30 de diciembre del 2010
Centro: C.S. Cambre
Respuesta: Efecto secundario de Reyataz

Nombre: patricia vazquez rodriguez
Fecha de respuesta: 10 de enero del 2011
Centro: centro hospitalario de a coruña
Respuesta: hiperbilirrubinemia secundaria a reyataz

Nombre: Raúl Rodríguez Pérez
Fecha de respuesta: 17 de enero de 2011
Centro: CHOU
Respuesta: Toxicidad hepatica (Sd.De Gilbert) y renal por ATV
Sogaisida.org publicará casos clínicos problema con fines fundamentalmente docentes. Esta sección está dirigida a todos los lectores de la página.
Cada mes se expondrá brevemente un caso clínico que puede ir acompañado de la iconografía correspondiente. Los participantes enviaran su diagnóstico al responsable científico antes del último día del mes correspondiente. Conjuntamente con la solución se publicara el nombre y centro de trabajo del / los acertantes.

En caso de duda o discrepancia con la solución planteada, sogaisida.org acepta mantener correspondencia acerca de la misma, publicándose tanto las observaciones como los comentarios de la redacción. Asimismo, todos aquellos que quieran aportar un caso que juzguen de interés para esta sección podrán remitirlo al correo electrónico de la sociedad.